International Journal of Pharmacology
2005 | 9,241,751 words
The International Journal of Pharmacology (IJP) is a globally peer-reviewed open access journal covering the full spectrum of drug and medicine interactions with biological systems, including chemical, physiological, and behavioral effects across areas such as cardiovascular, neuro-, immuno-, and cellular pharmacology. It features research on drug ...
Evaluation of the Chemoprotective Role of N-Acetylcysteine on...
Amany A. Abdin
Department of Pharmacology
Eman I. Draz
Department of Forensic Medicine and Clinical Toxicology
Naglaa I. Sarhan
Department of Histology, Faculty of Medicine, Tanta University, Egypt
Year: 2008 | Doi: 10.3923/ijp.2008.339.351
Copyright (license): Creative Commons Attribution 4.0 International (CC BY 4.0) license.
[Full title: Evaluation of the Chemoprotective Role of N-Acetylcysteine on Cisplatin-Induced Nephrotoxicity: New Aspect of an Old Drug]
INTRODUCTION
Cisplatin (cis-diamminedichloroplatinum, CDDP) is an alkylating inorganic compound that is widely used as a potent anticancer agent against solid tumors of the testes, ovaries, breasts, lungs, bladder, etc. (Greggi Antunes et al., 2000; Previati et al., 2004; Chirino et al., 2004). Cisplatin acts through activation of multiple signal transduction pathways associated with cell survival and apoptosis in various cell types in a dose-and time-dependent manner (Choi et al., 2004). However, in practice, the major dose limiting toxicity of cisplatin is the cumulative nephrotoxicity. Although reversible effects occur in 28-36% of patients treated with a single dose, renal toxicity may be cumulative and permanent with high doses or repeated cycles of treatment (McEvoy, 2006).
The exact mechanisms of nephrotoxicity induced by cisplatin are still not fully elucidated (Previati et al., 2004; Shimeda et al., 2005; Hofmann et al., 2006). Studies in a variety of cell types have suggested that cancer chemotherapy drugs induce cell apoptosis by inducing formation of Reactive Oxygen Species (ROS) (Senturker et al., 2002) and that the generation of ROS and lipid peroxidation is responsible for the cisplatin-induced renal tubular injury (Sugihara et al., 1987; Mora et al., 2003; Xiao et al., 2003). Also, the disproportionate accumulation of cisplatin in kidney tissue may play an important role, but the therapeutic measures to prevent this proposed cause of nephrotoxicity are not available (Kroning et al., 2000).
Due to the fact that no antidote exists for cisplatin, a continuous effort has been made to protect patients from cisplatin-induced toxicities since the early 1980`s (Blakley et al., 2002; Markman, 2003; Hartmann and Lipp, 2003). Hemodialysis, for example, is able to reduce only the free cisplatin in plasma, while most of cisplatin binds very quickly to plasma proteins and tissues after administration and therefore cannot be further eliminated by this procedure (Brivet et al., 1986; Lagrange et al., 1994). So, several chemoprotective agents have been tested with cisplatin-based therapies. They all have the common feature of compounds containing sulfur. Their mechanism of action is thought to be free radical scavenging, covalent binding to the agent or both, but is still not entirely understood (Hofmann et al., 2006).
N-acetylcysteine (NAC) is a precursor of the amino acid L-cysteine and helps glutathione synthesize pathway (Tepel et al., 2000). In addition to its conventional use as a mucolytic and as an antidote in acetaminophen toxicity (Reynolds, 1996), many researchers reported its various therapeutic applications in renal disorders such as; prevention of kidney damage caused by injections of iopromide, a contrast medium used in computerized tomography (CT) imaging (Tepel et al., 2000); successful treatment of pseudoporphyria that complicates kidney dialysis (Vadoud-Seyedi, 2000); reduced the incidence of kidney damage in people undergoing coronary angiography (Shyu et al., 2002); protection against a number of toxic insults, including ifosfamide-induced urotoxicity (Holoye et al., 1983). Recently, thiols such as N-acetylcysteine (NAC) are increasingly used in clinical trials of platinum chemotherapy as chemoprotectants, however, the molecular mechanisms of NAC on apoptosis and cisplatin cytotoxicity remain unknown (Wu et al., 2005). So, the aim of this study is to evaluate the chemoprotective role of N-acetylcysteine on experimental cisplatin-induced nephrotoxicity.
MATERIALS AND METHODS
Drugs used
• Cisplatin (vial 50 mg/50 mL; Merck, Germany) • N-acetylcysteine (sachet 200 mg; Sedico, Egypt) • All other chemicals were supplied from Sigma-Aldrich Co.This study was carried out on 40 albino rats weighing 100-150 g. They were handled in accordance with the guideline principles in the use of animals and provided with food and water ad libitum throughout the period of the work. The rats were divided into four groups (each of 10 rats) as following:
Group 1: Served as normal control group and received vehicle of isotonic saline by intraperitoneal (i.p.) injection daily for 7 days. Group 2: Nephrotoxicity was induced by cisplatin in a dose of 1 mg kg-1 daily by i.p. injection for 7 days (Huang et al., 2001), (diluted in isotonic saline to a final concentration of 0.1 mg/0.5 mL). Group 3: Treated 1 h before cisplatin with N-acetylcystien by oral gavage in a dose of 400 mg kg-1 daily for 7 days (Dickey et al., 2005), (prepared as 40 mg/0.5 mL solution in distilled water). Group 5: Treated 1 h after cisplatin with N-acetylcystiene in the same dose and duration.Twenty-four hours from the last injection the rats were sacrificed and blood samples were obtained for measurement of serum levels of urea (mg dL-1) (Fawcett and Scott, 1960) and creatinine (mg dL-1) (Bartels and Bohmer, 1973) using the commercially available kits. Kidneys of each rat were dissected carefully; one kidney was processed for detection of apoptosis (DNA fragmentation) and the other kidney for immunohistochemistry of caspase-3 reaction and histopathological assessment.
DNA extraction and apoptosis detection in kidney tissue: Nucleic acid extraction and detection of apoptosis was done according to salting out extraction method of Aljanabi and Martinez (1997), modified by Hassab El-Nabi (2004) as following: Protein was precipitated by saturated solution of 5 M NaCl and a little bit of kidney tissue was squeezed in eppendorf tube, lysed with 600 μL lysing buffer (50 mM NaCl, 1 mM Na2 EDTA, 0.5% SDS, pH 8.3) and gently shook. The mixture was incubated overnight at 37°C then, 200 μL of saturated NaCl was added to the samples, shook gently and centrifuged at 12,000 rpm for 10 min. The supernatant was transferred to new eppendorf tubes and DNA precipitated in 600 μL cold isopropanol. The mix was inverted several times until fine fibres appear, then centrifuged for 5 min at 12,000 rpm. The supernatant is removed and the pellets were washed with 500 μL 70% ethyl alcohol, centrifuged at 12,000 rpm for 5 min, then the alcohol was tipped out and the tubes blotted on Whatman paper, until the pellets appeared to be dry, then resuspended in 50 μL of TE buffer (10 mM tris, 1 mM EDTA, pH 8) supplemented with 5% glycerol. The suspended DNA was incubated for 30-60 min with loading mix (Rnase + loading buffer) and then loaded directly into the gel.
Immunohistochemistry of caspase-3 reaction: Initially, tissue sections were obtained after deparaffinized by xylol overnight and hydrated in descending grades of alcohol 100, 90, 70 and 50% for 5 min each. Antigen retrieval was performed by heating slides in citrate buffer (pH 6) in microwave for 5 min and washed twice in phosphate buffer for 20 min. Then, endogenous peroxide activity was blocked by hydrogen peroxide solution for 10 min and washed twice in phosphate buffer solution (pH 7.2) for 5 min each.
The sections were treated for one hour in humidity chamber with rabbit polyclonal antibody (primary antibody), against caspase-3, labeled it as dark brown granules inside the cytoplasm of the proximal convoluted tubules. The slides were rinsed in phosphate buffered saline and biotinylated secondary antibody (Universal Multilinke) was applied for 10 min and washed again in phosphate buffer for 5 min. The bound antibodies were visualized by applying streptavidine peroxidase 2 drops on the sections for 30 min, washed in phosphate buffer solution for 5 min and exposed for 10 min to freshly prepared Diaminobenzidine (DAB) as chromogen. After appearance of the brown color the slides were immediately washed in tap water, counterstained with hematoxylin, dehydrated and mounted. For negative control, phosphate buffer solution was used instead of the primary antibody. For statistical analysis, the frequency of the positively affected cells was scored in 100 proximal convoluted tubules from cortical tissue of each rat (Silverberg et al., 2006).
Histological method: The kidneys were fixed in 10% formol saline for 24 h, dehydrated with ascending grades of alcohol and paraffin embedded of 5 μm were obtained and stained with hematoxylin and eosin (Bancroft et al., 1996). For statistical analysis, the frequency of presence of intra-cytoplasmic vacuolations was scored in 100 proximal convoluted tubules from renal cortical tissue of each rat (Lortholary et al., 1993).
Statistics: Values of the measured parameters were presented as Mean±SD. The difference between each two groups was determined using student`s t-test. The significance was considered at p<0.05. Pearson`s correlation coefficient was applied to correlate between the parameters. The statistical analyses were processed according to the conventional procedures (Papkin, 1984); using the Statistical Program of Social Sciences (SPSS) software for windows, version 10.0. The comparison between each two proportions (frequencies) was calculated by z-test with level of significance at p<0.05 when z>1.96.
RESULTS
Biochemical results: Regarding functional parameters of the kidney (Table 1, Fig. 1, 2), it was found that cisplatin-induced nephrotoxicity (group 2) caused significant elevation in serum levels of creatinine (mg dL-1) and urea (mg dL-1) when compared to the control group (group 1); [1.65±0.51 vs 0.62±0.08 (p<0.001) and 44.17±5.08 vs 29.33±3.15 (p<0.001), respectively].
NS = Non significant; n = Number; p1 = Cisplatin-induced nephrotoxicity (group 2) vs control (group 1); p2 = N-acetylcystiene 1 h before cisplatin (group 3) and N-acetylcystiene 1 h after cisplatin (group 4) vs cisplatin only (group 2); p3 = N-acetylcystiene 1 h after cisplatin (group 4) vs N-acetylcystiene 1 h before cisplatin (group 3)
Fig. 1: Correlation of rena caspase-3 with serum urea in cisplatin-induced nephrotoxicity
Fig. 2:
Correlation of caspase-3 with serum creatinine in cisplatin-induced nephrotoxicityWhen compared to rats with untreated cisplatin-induced nephrotoxicity (group 2), treatment with N-acetylcystiene 1 h before administration of cisplatin (group 3) resulted in significant reduction in serum creatinine [1.03±0.30 vs 1.65±0.51 (p<0.01)], with non significant reduction in serum urea [41.92±3.22 vs 44.17±5.08 (p>0.05)], while treatment with N-acetylcystiene 1 h after administration of cisplatin (group 4) resulted in significant reduction in both serum creatinine and urea [0.78±0.11 vs 1.65±0.51 (p<0.001) and 38.08±3.95 vs 44.17±5.08 (p<0.01), respectively].
Treatment with N-acetylcystiene 1 h after administration of cisplatin (group 4) showed significant reduction in both serum creatinine and urea in comparison to treatment with N-acetylcystiene 1 h before administration of cisplatin (group 3) [0.78±0.11 vs 1.03±0.30 (p<0.05) and 38.08±3.95 vs 41.92±3.22 (p<0.05), respectively].
DNA fragmentation results: There was an increase in intensity of DNA fragmentation at 200, 400, 600 and 800 bp in the kidney tissue of cisplatin treated rats (group 2) in comparison with the control group (group 1).Administration of NAC one hour before cisplatin administration (group 3) showed reduction in intensity of DNA fragmentation at 200, 400, 600 and 800 bp in comparison with group 2 (cisplatin treated animal), while NAC administration one hour after cisplatin injection (group 4) revealed more repair in DNA damage in comparison with group 3, (Fig. 3).
Fig. 3: The electrophoretic pattern of DNA damage in kidney tissue in rats treated with NAC one hour before as well as 1 h after cisplatin administration. There is decrease intensity of DNA fragmentation in kidney tissue at 200, 400, 600, 800 bp in NAC treated animal one hour before ciplatin administration in comparison with cisplatin treated animals. The intensity of DNA damage is less in animals treated with NAC one hour after cisplatin administration in comparison with those treated with NAC one hour before cisplatin administration (Lane 1, 2 control, lane 3, 4 cisplatin treated animals, lane 5, 6 NAC 1 h before cisplatin, Lane 7, 8 NAC 1 h after cisplatin)
Results of immunohistochemistry of caspase-3 reaction: In the control rats (group 1) most of the PCT cells mainly in subcapsular region exhibited absent or faint positive immunostaining reaction appearing as brown granules in their cytoplasm, (Fig. 4A). On the other hand group 2 and 3 showed marked increase in caspase-3 activity throughout most cells of PCT in subcapsulr regions, where strong reactivity was detected (Fig. 4B-C). Group 4 showed apparent reduction in the caspase-3 activity in the cells of the PCT revealed as faint to moderate immunostaining reaction only in few proximal convoluted tubules of the subcapsular region (Fig. 4D).
As regard the statistical analysis, caspase-3 immunostaining reaction was significantly increased in cisplatin treated group (group 2) in comparison with control rats (group 1), (32.2 vs 6.7% p<0.05). Compared to group 2; group 3 showed non significant change, while group 4 showed significant decrease in caspase-3 reaction (28.4 vs 32.2% p>0.05 and 9.5 vs 32.2%, p<0.05; respectively). Group 4 showed marked decrease in caspase-3 immunostaining reaction in comparison with group 3 (9.5 vs 28.4%, p<0.05) (Table 2).
NS = Non significant; n = number; p1 = cisplatin-induced nephrotoxicity (group 2) vs control (group 1); p2 = N-acetylcystiene 1 h before cisplatin (group 3) and N-acetylcystiene 1 h after cisplatin (group 4) vs cisplatin only (group 2); p3 = N-acetylcystiene 1 h after cisplatin (group 4) vs N-acetylcystiene 1 h before cisplatin (group 3) In the rats with untreated cisplatin-induced nephrotoxicity (group 2), there were significant positive correlation between the frequency of renal caspase-3 reaction and serum levels of urea (r = 0.667, p<0.05) and creatinine (r = 0.638, p<0.05), as shown in Fig. 1 and 2 respectively.
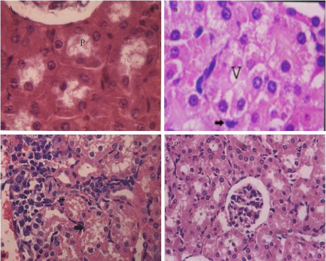
Histopathological results: Light microscopic examination of H and E stained renal sections of control rats (Group 1) revealed normal structural pattern of the proximal convoluted tubules (PCT) with distinct brush border and narrow irregular lumen lined by cubical epithelia cells with strongly eosinophilic cytoplasm with indistinct boundaries and few regularly arranged vesicular rounded central nuclei in TS section. Few tubular epithelial cells showed focal cytoplasmic vacuolations, (Fig. 5A).
Examination of renal cortex of rats received cisplatin only (group 2), (Fig. 5B) and those received N-acetylcystein 1 h before cisplatin (group 3), (Fig. 5C) showed a conspicuous alteration in the histological structure of many PCT of the subcapsular nephrons, the affection was patchy and showed several grades of tubular lesions in between the normal ones in the form of epithelial swelling with an intracytoplasmic vacuolations and narrowing of their lumina; others exhibited a shorter tubular hyperchromatic epithelium with loss of striated edge and discontinuity of tubular wall; many tubules have no cellular lining and lost their nuclei while others were lined with flattened elongated cells. Most of the tubular epithelial cells were fragmented and sloughed into their lumina and some tubules contained hyaline casts. This tubular necrosis was also accompanied by scattered signs of apoptosis as evidenced by diminished cell size, reduced cytoplasmic volume with condensed eosinophilic cytoplasm and nuclear chromatin.
Fig. 4: A photomicrograph of the renal cortex (Avidin Biotin peroxidase for caspase-3 H.Mic. Mag. X400); (A) Control (group 1) showing faint immunostaining reaction of Caspase-3 in the cytoplasm of cells proximal convoluted tubules; (b) Cisplatin nephrotoxicity (group 2) showing strong immunostaining reaction of Caspase-3 in the cytoplasm of cells of proximal convoluted tubules; (C) NAC 1 h before cisplatin (group 3) showing strong immunostaining reaction of Caspase-3 in the cytoplasm of cells of proximal convoluted tubules mostly in the sub capsular regions; (D) NAC 1 h after cisplatin (group 4) showing moderate immunostaining reaction of Caspase-3 in cytoplasm of proximal convoluted tubules
Examination of the renal cortex of rats received N-acetylcystein 1 h after cisplatin (group 4), revealed amelioration in the nephrotoxic effect of cisplatin manifested as an obvious recovery of many tubules. Only little pathologic changes were detected if compared with animals of group 2 and 3. The tubules showed large vesicular regularly arranged nuclei with focal tubular vacoulation, (Fig. 5D).
Statistical analysis showed significant increase in PCT vacuolations in group 2 in comparison with group 1 (48.6 vs 18.4%, p<0.05). Compared to group 2; PCT vacuolations was non significantly changed in group 3 but showed significant decrease in group 4 (43.5 vs 48.6%, p>0.05 and 26.2 vs 48.6%, p<0.05; respectively). Comparing group 4 with group 3, there was significant decrease in PCT vacuolations (26.2 vs 43.5%, p<0.05) (Table 2).
DISCUSSION
Cisplatin (CDDP) is currently among the most effective form of chemotherapy for a variety of malignant solid tumors (Kuhlmann et al., 1997; Blakley et al., 2002; Shimeda et al., 2005). Neverthless, in practice, its major dose limiting toxicity is the nephrotoxicity that may be cumulative and permanent with high doses or repeated cycles of treatment (McEvoy, 2006).
The current study showed that treatment with cisplatin resulted in induction of nephrotoxicity in rats, that was manifested as significant elevation in serum urea and creatinine levels and accompanied by severe morphological changes and marked apoptosis in the proximal convoluted tubules detected by significant increase in renal caspase-3 reaction and marked DNA laddering. Moreover, there was significant positive correlation between caspase-3 with either serum urea or serum creatinine levels. The precise mechanisms involved in nephrotoxicity induced by cisplatin have not been completely elucidated (Shimeda et al., 2005). Nevertheless, results of the present research came in concurrence with those obtained in many studies (Zhan et al., 1999; Gonzalez et al., 2001; Razzaque et al., 2002; Choi et al., 2004; Karimi et al., 2005; Wu et al., 2005; Dickey et al., 2005), demonstrating the central role of apoptosis in cisplatin-induced nephrotoxicity and highlighting a number of steps that might be targeted to minimize cisplatin-induced nephrotoxicity.
Fig. 5: A photomicrograph of a TS section in renal cortex; (A) Control (group 1) showing normal structure of proximal convoluted tubules (P). The nuclei are regularly arranged and have vesicular appearance and the lumen is irregular and have brush border (H and E. Mic Mag. X1000); (B) Cisplatin nephrotoxicity (group 2) showing epithelial swelling of proximal convoluted tubules with intracytoplasmic vacoulations and narrowing to the tubular lumens (V). Notice Pyknotic nucleus in the lining epithelium of the adjacent proximal convoluted tubules. (Arrow) (H and E. Mic. Mag X1000); (C) NAC 1 h before cixplatin (group 3) showing many cytoplasmic vacuoles. The cells lining the tubules are necrotic while their cytoplasm is deeply eosinophilic or shows granular disintegration, fragmentation and sloughing of the epithelium into their lumens (arrows). The nuclei of these tubular epithelium are irregularly arranged while other are either hypechromatic and pyknotic or completely absent (H and E. Mic. Mag. X400); (D) NAC 1 h after cisplatin (group 4) showing proximal convoluted tubules with large vesicular regularly arranged nuclei and focal tubular cytoplasmic vacoulations (*) (H and E. Mag. X400)
Meanwhile, two distinct pathophysiological mechanisms have been recognized as primary promoters of cellular damage, namely the inhibition of protein synthesis and glutathione (GSH) depletion. The intracellular binding of cisplatin to SH groups leads to GSH depletion, resulting in lipid peroxidation, free radical generation in the renal tubular cells and eventually mitochondrial damage; but these events were merely considered as sequelae of established cell damage (Kuhlmann et al., 1997; Shimeda et al., 2005). Leibbrandt et al. (1995) demonstrated nucleolar condensation and fragmentation in tubular cells treated by a concentration that is readily reached in patients and ultimately decrease protein synthesis in non proliferating cells such as renal tubular epithelial cells. It is currently thought that DNA platination by cisplatin is an essential first step in its cytotoxic activity (Shellard et al., 1993; Evans et al.,1994; Johnson et al., 1994) results primarily from its ability to bind covalently to DNA preventing DNA replication and transcription (Li et al., 2001). Factors controlling DNA platination include the drug uptake, the rate of platinum adduct formation and repair and the concentration of cellular thiols. The uptake of cisplatin varies among different cells (Sadowitz et al., 2002). This was in consistence with the concept that the kidney accumulates cisplatin to a higher degree than any other organ, exceeding plasma concentrations by a factor of five and may indirectly alter renal hemodynamics where proximal convoluted tubules are expected to exhibit the most pronounced injury due to its poor vascular supply (Arany and Safirstein, 2003), with the highest intracellular concentrations are found in mitochondria, nuclei and microsomes (Kuhlmann et al., 1997).
Through these mechanisms, cisplatin triggers cellular responses involving multiple pathways, including DNA repair, transcription inhibition, cell cycle arrest and apoptosis (Siddik, 2003). Apoptosis is a programmed cell death that occurs through death receptor pathway and mitochondrial pathway (Levin et al., 1999). Although studies have revealed that cisplatin induces cell apoptosis, the mechanism in various cell types is not fully understood. Previous studies showed that apoptosis induced by cisplatin was mediated through both death receptor/caspase-8 (Fulda et al., 1998; Seki et al., 2000) and/or the caspase-9/caspase-3 pathways (Sun et al., 1999; Siddik, 2003; Choi et al., 2004; Ludwig and Oberleithner, 2004; Del Bello et al., 2004). Caspase-3 can be activated by caspase-9, which is activated by the release of cytochrome C from the mitochondria (Zhan et al., 1999; Schuler et al., 2000). Following one hour of exposure to cisplatin, platinum adducts to mitochondrial DNA were abundant and released cytochrome C within minutes of exposure (Yang et al., 2006). In fact, caspase-3 has been specifically implicated as the effector caspase responsible for DNA fragmentation by subsequent activation of DNA endonuclease that is required for formation of apoptotic DNA ladders (Liu et al., 1998; Nagata, 2000; Widlak, 2000; Basnakian et al., 2002; Wu et al., 2005). The cleavage of caspase-3 began to increase at 4 h after cisplatin, peaked at 12 h with sustained high expression levels at the 24 h time point, indicating that apoptotic signal was continuously activated by cisplatin (Wu et al., 2005).
In this context, it is of interest to understand the relationship between the dosage regimen of cisplatin and the induction of apoptosis. The cisplatin dosage regimen used in the present work was proved to induce nephrotoxicity without lethality in rats after a 7-day exposure period (Huang et al., 2001) and chosen on the basis that the multiple administrations or continuous infusion of low-dose cisplatin is an excellent regimen for cancer patients (Kurihara et al., 1995; Morazzoni et al., 1998).
It was documented that when certain dose of cisplatin was added intermittently, it would reached the same final concentration producing the ultimate cytotoxic effect, including activation of caspase-3, as if given as a single dose, although, these individual additions alone were not cytotoxic. Therefore, it was suggested that cisplatin induces apoptosis by formation of a threshold level of DNA-platinum adducts that are independent on the exposure regimen (Kishimoto et al., 2005). Ozawa et al. (1988) demonstrated that the cytotoxic ability of non-cell cycle-specific agents, such as cisplatin, depends on the concentration-time or Area Under Curve (AUC), which means that intermittent exposure low concentrations of the drug have the same effect as a single short-term exposure at a high concentration. Tacka et al. (2004) demonstrated that the amount of platination of nuclear DNA by cisplatin is proportional to the AUC.
The disproportionate accumulation of cisplatin in kidney tissue may play an important role, however, therapeutic measures to prevent this proposed cause of nephrotoxicity are not available (Kroning et al., 2000). Since even vigorous hydration (Dickey et al., 2005) or hemodialysis (Lagrange et al., 1994) could not completely eliminate toxicity, the discontinuation of cisplatin remains the only option in cases of progressive renal failure (Kuhlmann et al., 1997). Meanwhile, various thiols (SH-containing substances) such as sodium thiosulphate, amifostine, glutathione, diethyl-dithiocarbamateand L-methionine have been tested for their efficacy to ameliorate cisplatin nephrotoxicity through prevention of GSH depletion and Reactive Oxygen Species (ROS) scavenging (Kuhlmann et al., 1997; Blakley et al., 2002; Hartmann and Lipp, 2003; Markman, 2003). But, it have been found that cisplatin could induce extensive apoptosis in the absence of any detectable oxidative stress (Senturker et al., 2002) and that GSH depletion and free radical generation in the renal tubular cells were merely considered as sequelae of established cell damage (Kuhlmann et al., 1997; Shimeda et al., 2005). So, novel rationales against the prime apoptotic pathomechanisms could be emerged to protect kidneys from cisplatin toxicity.
In the current study, administration of N-acetylcysteine one hour after cisplatin offered marked protection against nephrotoxicity when compared to the group with untreated cisplatin nephrotoxicity. This protection was manifested as significant reduction in serum levels of urea and creatinine, amelioration of both apoptotic markers caspase-3 and DNA fragmentation as well as the histopathological changes. On the other hand, administration of N-acetylcysteine 1 h before cisplatin did not provide any significant changes in the studied parameters except the slight reduction in serum creatinine levels when compared to the group with untreated cisplatin nephrotoxicity.
N-acetylcysteine (NAC) is a thiol agent, acting as precursor of L-cysteine and glutathione pathway. Although it is currently viewed as an antioxidant scavenging free radicals (Zhang et al., 1998; Safirstein et al., 2000; Zafarullah et al., 2003), but the absence of significant correlations between GSH and chemoprotection against melphalan after 1 and 4 h from N-acetylcysteine argues against glutathione biosynthesis as a mechanism of protection (Pendyala and Creaven, 1995; Muldoon et al., 2001). Previously, Borgstrom and Kagedal (1990) estimated that the beneficial clinical effects observed after repeated dosing of NAC can not be ascribed to its accumulation in plasma.
De Flora et al. (2001) reviewed that NAC has an impressive array of mechanisms and protective effects towards DNA damage and carcinogenesis, most of which are related to its nucleophilicity, antioxidant activity and replenishment of GSH stores, inhibition of formation of adducts to mitochondrial and nuclear DNA, modulation of DNA repair, inhibition of oxidative DNA damage, regulation of cell survival and apoptosis, inhibition of induced mutations, modulation of gene expression and signal transduction pathways, inhibition of cell proliferation and progression to malignancy, inhibition of invasion and metastasis and protection towards adverse effects of other cancer chemopreventive or chemotherapeutic agents.
The mechanisms governing the effect of N-acetylcysteine on cell damage induced by anticancer agents such as cisplatin have not been fully established (Wu et al., 2005). However, there are recent growing data from in vitro and in vivo studies (Konstantinov et al., 1994; Choi et al., 2004; Wu et al., 2005; Dickey et al., 2005), suggesting that N-acetylcysteine protected against cisplatin-induced apoptosis. The N-acetylcysteine inhibition of apoptosis is presumably the result of its ability to attenuate DNA damage and other signals which ultimately trigger apoptosis (De Flora et al., 2001). Wu et al. (2005) proved that N-acetylcysteine administration reversed the cytotoxic and apoptotic effects, blocks both the death receptor and the mitochondrial apoptotic pathways induced by cisplatin, through its marked inhibition of caspase-3 signaling pathway. Another possible mechanism is attributed to the direct binding of the reactive thiol group on N-acetylcysteine to platinum (Pt) agents including cisplatin, resulting in their inactivation and formation of a complex unsuitable for tubular reabsorption (Appenroth et al., 1993; Muldoon et al., 2001; Senturker et al., 2002). Since the thiolate anion has a high affinity for Pt+2, Pt ions entering the cell may preferentially bind to sulfur atoms rather than the bases of DNA (Ishikawa and Ali-Osman, 1993).
In contrary, (Dizdaroglu et al., 1991; Sprong et al., 1998) demonstrated that N-acetylcysteine could induce metal-dependent H2O2 generation and subsequently, damage to cellular and isolated DNA. They speculated that N-acetylcysteine undergoes Cu(II)-mediated autoxidation to generate Cu(I) and the thiyl radical of N-acetylcysteine, binding to DNA with formation of a reactive complex causing DNA damage. However, they explained this effect on the bases that many agents possess antioxidant activity at low doses, while exhibiting prooxidant behavior at their higher doses under certain conditions of abundant metals (Cu+2, Fe+2). Another conflicting aspect arise from a previous study proposed that cisplatin requires metabolic activation to become nephrotoxic via the metabolism of a glutathione-platinum conjugate, where preincubation of cisplatin with N-acetylcysteine results in a transient increase in the toxicity of cisplatin toward renal proximal tubular cells (Townsend et al., 2003). But this observation could be argued because in other study, the stimulation of apoptosis by N-acetylcysteine, was shown in cancer cells but not in non-cancer cells (Ziemann et al., 1999).
The impact of timing and route of N-acetylcysteine administration may provide a mechanism to reduce cisplatin side effects in vivo, without compromising therapeutic efficacy for the treatment of cancer (Wu et al., 2005). Regarding that induction of nephrotoxicity by cisplatin is assumed to be a rapid process involving reaction with proteins in the renal tubules (Heidman et al., 1985; Montine and Borch, 1990), so it is important for the protective agent to be present in renal tissue before damage occurs (Karimi et al., 2005).
The results obtained in the current work showed that only administration of N-acetylcysteine one hour after cisplatin offered marked protection against nephrotoxicity in comparison to its administration one hour before cisplatin. This protection was manifested as significant reduction in serum levels of urea and creatinine, amelioration of both apoptotic markers caspase-3 and DNA fragmentation as well as the histopathological changes.
This came in consistency with the observation that renal damage occurs within 1 h after cisplatin administration (Heidman et al., 1985; Rao and Rao, 1992). When Wu et al. (2005) explored the kinetics of N-acetylcysteine protection at 15 min, 1, 2, 4, 6 and 8 h after administration of cisplatin, they observed that N-acetylcysteine completely blocked cisplatin-induced apoptosis for all cell types when added within 1 h after cisplatin treatment. This protection was reduced when N-acetylcysteine was added 2 to 8 h after cisplatin, after which no protection was noted and these data suggest that 1 h and up to 2 h is the critical time period for rescue from cisplatin toxicity. Moreover, they estimated that there was loss of such antiapoptotic effect of NAC if it was washed off the cells prior to cisplatin administration. Zunino et al. (1989) and Neuwelt et al. (2001) reported that the timing of cisplatin administration after N-acetylcysteine becomes an issue and protection against cisplatin-induced nephrotoxicity was found to be critically dependent on timing of thiol administration. However, they found that N-acetylcysteine administration 60 min prior to chemotherapy was bone marrow protective, but this result was in contrast with the rapid clearance of N-acetylcysteine, means that most N-acetylcysteine was cleared from the circulation by the time the chemotherapy was given.
From the pharmacokinetic viewpoint, it was reported that N-acetylcysteine is rapidly absorbed after oral administration with a peak plasma concentration obtained in 0.5-1 h and terminal half-life of 6.25 h (Reynolds, 1996). Moreover, N-acetylcysteine is known to have a rapid first pass metabolism in the intestine and liver after oral administration and its bioavailabiliy is thought to be quite low (4 to 10%) (Borgstrom et al., 1986). On the other hand, cisplatin behaves in biphasic manner with initial plasma half-life of 25-49 min for the non-bound fraction and half-life of 58-73 h for total platinum (Reynolds, 1996; Dickey et al., 2005). It is known that cisplatin binds to plasma proteins very quickly after administration, where this protein-bound fraction representing more than 90% of the dose by 2 to 4 h after administration, forming an exchangeable pool that is mostly responsible for prolonged toxic effects, where it could be detected in tissue for several months afterwards (Lagrange et al., 1994; Reynolds, 1996).
Despite the potential benefits of chemoprotectants, such agents have relatively little clinical use due to concerns of impaired antitumor efficacy. The issue of potential interactions of chemoprotection with chemotherapy efficacy is of much concern, however, such interactions may be avoided by separating treatments in time (Muldoon et al., 2001; Dickey et al., 2005) and better understanding of the roles of N-acetylcysteine on the apoptotic signaling pathway in cellular and molecular prospects should enable a more rational chemoprotectant delivery regimen to maximize chemoprotective effects while minimizing any impact on antitumor efficacy in human patients (Wu et al., 2005). Several studies reported that application with N-acetylcysteine provided amelioration of the platinum induced nephrotoxicity with respection to preservation of the antitumor activity of cisplatin (Konstantinov et al., 1994; Yim et al., 1994; Muldoon et al., 2000; Neuwelt et al., 2004). Regarding cost, practicality of use, safety and efficacy, it is noteworthy that N-acetylcysteine preparations have a low cost and are of practical use and moreover, oral administration is compatible with long-term use (De Flora et al., 2001). A previous study by Hermann (1970) showed that 5.6 g/day chronic p.o. administration of N-acetylcysteine for 6 months was well tolerated, with vomiting (1 of 1 2) and diarrhea (4 of 1 2) as the only side effects. Toxicity of N-acetylcysteine is low either in human (Pendyala and Creaven, 1995) or in experimental animals (Johnston et al., 1983), although adverse effects, including anaphylactic responses, have been observed only in accidental high-dose NAC infusion in humans (Sprong et al., 1998).
In conclusion, N-acetylcysteine administration one hour after cisplatin could be recommended as a well-tolerated effective chemoprotective therapy against the potential cisplatin nephrotoxicity. For the future, further researches are needed to judge the confliction about the effects of timing and different dosage regimen of N-acetylcysteine on the antitumor efficacy of cisplatin in various types of tumors.
ACKNOWLEDGMENTS
A lot of appreciation to Dr. Sobhi E. Hassab El-Nabi for his kind cooperation and effort in carrying out DNA extraction and apoptosis detection in kidney tissue, manufactured in laboratory of genetic and molecular biology, Faculty of Science, Menofia University.
REFERENCES
- Aljanabi, S.M. and I. Martinez, 1997. Universal and rapid salt-extraction of high quality genomic DNA for PCR-based techniques. Nucleic Acid Res., 25: 4692-4693.
CrossRefPubMed - Appenroth, D., K. Winnefeld, H. Schroter and M. Rost, 1993. Beneficial effect of acetylcysteine on cisplatin nephrotoxicity in rats. J. Applied Toxicol., 13: 189-192.
CrossRef - Arany, I. and R.L. Safirstein, 2003. Cisplatin nephrotoxicity. Semin. Nephrol., 23: 460-464.
CrossRefPubMedDirect Link - Bartels, H. and M. Bohmer, 1973. A kinetic method for measurement of creatinine in serum. Das Med. Lab., 26: 209-215.
PubMedDirect Link - Basnakian, A.G., G.P. Kaushal and S.V. Shah, 2002. Apoptotic pathways of oxidative damage to renal tubular epithelial cells. Antioxid Redox Signal, 4: 915-924.
CrossRef - Blakley, B.W., J.I. Cohen, N.D. Doolittle, L.L. Muldoon, K.C. Campbell, D.T. Dickey and E.A. Neuwelt, 2002. Strategies for prevention of toxicity caused by platinum-based chemotherapy: Review and summary of the annual meeting of the blood-brain barrier disruption program, Gleneden Beach, Oregon, March 10, 2001. The Laryngoscope, 112: 1997-2001.
CrossRef - Borgstrom, L., B. Kagedal and O. Paulsen, 1986. Pharmacokinetics of N-acetylcysteine in man. Eur. J. Clin. Pharmacol., 31: 217-222.
CrossRefDirect Link - Borgstrom, L. and B. Kagedal, 1990. Dose dependent pharmacokinetics of N-acetylcysteine after oral dosing to man. Biopharm. Drug Dispos., 11: 131-136.
CrossRef - Brivet, F., J.M. Pavlovitch, A. Gouyette, M.L. Cerrina, G. Tchernia and J. Dormont, 1986. Inefficiency of early prophylactic hemodialysis in cis-platinum overdose. Cancer Chemother Pharmacol., 18: 183-184.
CrossRef - Chirino, Y.I., R. Hernandez-Pando and J. Pedraza-Chaveri, 2004. Peroxynitrite decomposition catalyst ameliorates renal damage and protein nitration in cisplatin-induced nephrotoxicity in rats. 1. BMC. Pharmacol., 4: 20-29.
CrossRef - Choi, B.K., C.H. Choi, H.L. Oh and Y.K. Kim, 2004. Role of ERK activation in cisplatin-induced apoptosis in A172 human glioma cells. Neurotoxicology, 25: 915-924.
CrossRef - De Flora, S., A. Izzotti, F. D'Agostini and R.M. Balansky, 2001. Mechanisms of N-acetylcysteine in the prevention of DNA damage and cancer, with special reference to smoking-related end-points. Carcinogenesis, 22: 999-1013.
Direct Link - Del Bello, B., M.A. Valentini, P. Mangiavacchi, M. Comporti and E. Maellaro, 2004. Role of caspases-3 and-7 in Apaf-1 proteolytic cleavage and degradation events during cisplatin-induced apoptosis in melanoma cells. Exp. Cell Res., 293: 302-310.
CrossRef - Dickey, D.T., Y.J. Wu, L.L. Muldoon and E.A. Neuwelt, 2005. Protection against cisplatin-induced toxicities by N-acetylcysteine and sodium thiosulfate as assessed at the molecular, cellular and in vivo levels. J. Pharmacol. Exp. Therapeut., 314: 1052-1058.
CrossRefDirect Link - Dizdaroglu, M., G. Rao, B. Halliwell and E. Gajewski, 1991. Damage to the DNA bases in mammalian chromatin by hydrogen peroxide in the presence of ferric and cupric ions. Arch. Biochem. Biophys., 285: 317-324.
Direct Link - Evans, D.L., M. Tilby and C. Dive, 1994. Differential sensitivity to the induction of apoptosis by cisplatin in proliferating and quiescent immature rat thymocytes is independent of the levels of drug accumulation and DNA adduct formation. Cancer Res., 54: 1596-1603.
Direct Link - Fawcett, J.K. and J.E. Scott, 1960. A rapid and precise method for the determination of urea. J. Clin. Pathol., 13: 156-159.
CrossRefPubMedDirect Link - Fulda, S., C. Scaffidi, T. Pietsch, P.H. Krammer, M.E. Peter and K.M. Debatin, 1998. Activation of the CD95 (APO-1/Fas) pathway in drug- and gamma-irradiation-induced apoptosis of brain tumor cells. Cell Death Differ., 5: 884-893.
Direct Link - Gonzalez, V.M., M.A. Fuertes, C. Alonso and J.M. Perez, 2001. Is cisplatin-induced cell death always produced by apoptosis? Mol. Pharmacol., 59: 657-663.
CrossRefDirect Link - Antunes, L.M.G., J.D.C. Darin and M.L.P. Bianchi, 2000. Protective effects of vitamin C against cisplatin-induced nephrotoxicity and lipid peroxidation in adult rats: A dose-dependent study. Pharmacol. Res., 41: 405-411.
CrossRefDirect Link - Hartmann, J.T. and H.P. Lipp, 2003. Toxicity of platinum compounds. Expert Opin. Pharmacother., 4: 889-901.
CrossRefPubMedDirect Link - Hassab El-Nabi, S.E., 2004. Molecular and cytogenic studies on the antimutagenic potential of eugenol in human lymphocytes culture treated with depakine and apetryl drugs. J. Egypt Ger. Soc. Zool., 43c: 171-196.
Direct Link - Heidman, H.T., J.F. Gerkens, E.K. Jackson and R.A. Branch, 1985. Attenuation of cisplatin induced nephrotoxicity in the rat by high salt diet, furosemide and acetazolamide. Arch Pharmacol., 329: 201-205.
CrossRefDirect Link - Hermann, H.W., 1970. Chronic human toxicity study of orally administered acetylcysteine. Mead Johnson Research Center Report (Herm-HW-03637) Final Study Report, 1970.
- Hofmann, G., T. Bauernhofer, P. Krippl, D. Lang-Loidolt, S. Horn, W. Goessler, W. Schippinger, F. Ploner, H. Stoeger and H. Samonigg, 2006. Plasmapheresis reverses all side-effects of a cisplatin overdose-a case report and treatment recommendation. BMC Cancer, 6: 1-1.
Direct Link - Holoye, P.Y., J. Dulege, R.M. Hansen, P.S. Ritch and T. Anderson, 1983. Prophylaxis of ifosfamide toxicity with oral acetylcysteine. Semin Oncol., 10: 66-71.
Direct Link - Huang, Q., R.T. Dunn II, S. Jayadev, O. DiSorbo and F.D. Pack et al., 2001. Assessment of cisplatin-induced nephrotoxicity by microarray technology. Toxicol. Sci., 63: 196-207.
CrossRefPubMedDirect Link - Ishikawa, T. and F. Ali-Osman, 1993. Glutathione-associated cis-diamminedichloroplatinum (II) metabolism and ATP-dependent efflux from leukemia cells. Molecular characterization of glutathione-platinum complex and its biological significance. J. Biol. Chem., 268: 20116-20125.
PubMed - Johnston, R.E., H.C. Hawkins and J.H. Jr. Weikel, 1983. The toxicity of N-acetylcysteine in laboratory animals. Semin Oncol., 10: 17-24.
PubMed - Johnson, S.W., P.A. Swiggard, L.M. Handel, J.M. Brennan, A.K. Godwin, R.F. Ozols and T.C. Hamilton, 1994. Relationship between platinum-DNA adduct formation and removal and cisplatin cytotoxicity in cisplatin-sensitive and -resistant human ovarian cancer cells. Cancer Res., 54: 5911-5916.
- Karimi, G., M. Ramezani and Z. Tahoonian, 2005. Cisplatin nephrotoxicity and protection by milk thistle extract in rats. Evid Based Comp. Alt. Med., 2: 383-386.
Direct Link - Kishimoto, S., Y. Kawazoe, M. Ikeno, S. Fukushima and Y. Takeuchi, 2005. Continuous exposure to low-dose cisplatin and apoptosis. Biol. Pharm. Bull., 28: 1954-1957.
Direct Link - Konstantinov, S., M. Topashka-Ancheva, M. Karaivanova, G. Zoneva and I. Galova, 1994. Antitumor, nephrotoxic and clastogenic effect of cis-DDP with DDTC or NAC. Neoplasma, 41: 253-258.
Direct Link - Kroning, R., A.K. Lichtenstein and G.T. Nagami, 2000. Sulfur-containing amino acids decrease cisplatin cytotoxicity and uptake in renal tubule epithelial cell lines. Cancer Chemother. Pharmacol., 45: 43-49.
CrossRefDirect Link - Kuhlmann, M.K., G. Burkhardt and H. Kohler, 1997. Insights into potential cellular mechanisms of cisplatin nephrotoxicity and their clinical application. Nephrol. Dial. Transplant., 12: 2478-2480.
Direct Link - Kurihara, N., T. Kubota, Y. Hoshiya, Y. Otani, K. Kumai and M. Kitajima, 1995. Antitumor activity of cis-diamminedichloroplatinum (II) depends on its time x concentration product against human gastric cancer cell lines in vitro. J. Surg. Oncol., 60: 238-241.
CrossRef - Lagrange, J.L., E. Cassuto Viguier, V. Barbe, J.L. Fischel, J.R. Mondain, M.C. Etienne, J.M. Ferrero, A. Creisson-Ducray, P. Formento and G. Milano, 1994. Cytotoxic effects of long-term circulating ultrafiltrable platinum species and limited efficacy of haemodialysis in clearing them. Eur. J. Cancer, 30A: 2057-2060.
Direct Link - Leibbrandt, M.E.I., H.I.W. Grushenka, A.L. Metz, A.A. Ozobia and J.R. Haskins, 1995. Critical subcellular targets of cisplatin and related platinum analogs in rat renal proximal tubule cells. Kidney Int., 48: 761-770.
CrossRefDirect Link - Levin, S., T.J. Buci, S.M. Cohen, A.S. Fix, J.F. Hardisty, E.K. LeGrand, R.R. Maronpot and B.J. Trump, 1999. The nomenclature of cell death: Recommendations of an ad hoc committee of the society of toxicologic pathologists. Toxicol. Pathol., 27: 484-490.
Direct Link - Li, Q.Q., M.K. Yunmbam, X. Zhong, J.J. Yu, E.G. Mimnaugh, L. Neckers and E. Reed, 2001. Lactacystin enhances cisplatin sensitivity in resistant human ovarian cancer cell lines via inhibition of DNA repair and ERCC-1 expression. Cell Mol. Biol., 47: OL61-OL72.
Direct Link - Liu, X., P. Li, P. Widlak, H. Zou, X. Luo, W.T. Garrard and X. Wang, 1998. The 40-kDa subunit of DNA fragmentation factor induces DNA fragmentation and chromatin condensation during apoptosis. Proc. Natl. Acad Sci. USA., 95: 8461-8466.
Direct Link - Lortholary, O., F.O. Blanchet, D. Nochy, D. Heudes, N. Seta, P. Amirault and C. Carbon, 1993. Effects of diltiazem on netilmicin-induced nephrotoxicity in rabbits. Antimicrob. Agents Chemother., 37: 1790-1798.
Direct Link - Ludwig, T. and H. Oberleithner, 2004. Platinum complex toxicity in cultured renal epithelia. Cell Physiol. Biochem., 14: 431-440.
PubMed - Markman, M., 2003. Toxicities of the platinum antineoplastic agents. Expert Opin. Drug Saf., 2: 597-607.
Direct Link - McEvoy, G.K., 2006. Antineoplastic agents cisplatin. In: AHFS Drug Information. American Society of Health-System Pharmacists, pp: 979-994.
- Montine, T.J. and R.F. Borch, 1990. Role of endogenous sulfur containing nucleophiles in an in vitro model of cis-diamminedichloroplatinium-induced nephrotoxicity. Biochem. Pharmacol., 39: 1751-1757.
Direct Link - de Oliveira Mora, L., L.M.G. Antunes, H.D.C. Francescato and M. de Lourdes Pires Bianchi, 2003. The effects of oral glutamine on cisplatin-induced nephrotoxicity in rats. Pharmacol. Res., 47: 517-522.
CrossRefPubMedDirect Link - Morazzoni, F., C. Canevali, M. Zucchetti, S. Caroli, A. Alimonti, F. Petrucci, G. Giudice, E. Masoni and A.V. Bedini, 1998. Cis-Diamminedichloroplatinum(II) given in low-dose continuous infusion with concurrent radiotherapy to patients affected by inoperable lung carcinoma: A pharmacokinetic approach. J. Cancer Res. Clin. Oncol., 124: 37-43.
Direct Link - Muldoon, L.L., M.A. Pagel, R.A. Kroll, R.E. Brummett, N.D. Doolittle, E.G. Zuhowski, M.J. Egorin and E.A. Neuwelt, 2000. Delayed administration of sodium thiosulfate in animal models reduces platinum ototoxicity without reduction of antitumor activity. Clin. Cancer Res., 6: 309-315.
Direct Link - Muldoon, L.L., S.L. Walker-Rosenfeld, C. Hale, S.E. Purcell, L.C. Bennett and E.A. Neuwelt, 2001. Rescue from enhanced alkylator-induced cell death with low molecular weight sulfur-containing chemoprotectants. J. Pharmacol. Exp. Med., 296: 797-805.
Direct Link - Nagata, S., 2000. Apoptotic DNA fragmentation. Exp. Cell Res., 256: 12-18.
CrossRefPubMedDirect Link - Neuwelt, E.A., M.A. Pagel, B.P. Hasler, T.G. Deloughery and L.L. Muldoon, 2001. Therapeutic efficacy of aortic administration of N-acetylcysteine as a chemoprotectant against bone marrow toxicity after intracarotid administration of alkylators, with or without glutathione depletion in a rat model. Cancer Res., 61: 7868-7874.
Direct Link - Neuwelt, E.A., M.A. Pagel, D.F. Kraemer, D.R. Peterson and L.L. Muldoon, 2004. Bone marrow chemoprotection without compromise of chemotherapy efficacy in a rat brain tumor model. J. Pharmacol. Exp. Ther., 309: 594-599.
CrossRefDirect Link - Ozawa, S., Y. Sugiyama, Y. Mitsuhashi, T. Kobayashi and M. Inaba, 1988. Cell killing action of cell cycle phase-non-specific antitumor agents is dependent on concentration-time product. Cancer Chemother. Pharmacol., 21: 185-190.
Direct Link - Papkin, F.B. and C. Livingstone, 1984. Medical Statistics Made Easy. 1st Edn., Churchil Livingstone, Edinburgh, New York, ISBN:0443028885 pp: 46-91.
- Pendyala, L. and P.J. Creaven, 1995. Pharmacokinetic and pharmacodynamic studies of N-acetylcysteine, a potential chemopreventive agent during a phase I trial. Cancer Epidemiol. Biomarkers Prev., 4: 245-251.
Direct Link - Previati, M., I. Lanzoni, E. Corbacella, S. Magosso, S. Giuffre, F. Francioso, D. Arcelli, S. Volinia, A. Barbieri, S. Hatzopoulos, S. Capitani and A. Martini, 2004. RNA expression induced by cisplatin in an organ of Corti-derived immortalized cell line. Hear Res., 196: 8-18.
CrossRefDirect Link - Rao, M. and M.N. Rao, 1998. Protective effects of selenomethionine against cisplatin-induced renal toxicity in mice and rats. J. Pharm. Pharmacol., 50: 687-691.
PubMed - Razzaque, M.S., N. Ahsan and T. Taguchi, 2002. Role of apoptosis in fibrogenesis. Nephron, 90: 365-372.
PubMed - Reynolds, J.E.F., 1996. Cough Suppressants, Expectorants and Mucolytics. In: Martindale. The Extrapharmacopiae. 32nd Edn. Royal Pharmaceutical Society, London, pp: 1060-1062.
- Reynolds J.E.F., 1996. Antineoplastic Agents and Immunosuppressants. In: Martindale. The Extrapharmacopiae. 32nd Edn. Royal Pharmaceutical Society, London, pp: 552-554.
- Sadowitz, P.D., B.A. Hubbard, J.C. Dabrowiak, J. Goodisman, K.A. Tacka, M.K. Aktas, M.J. Cunningham, R.L. Dubowy and A. Souid, 2002. Kinetics of cisplatin binding to cellular dna and modulations by thiol-blocking agents and thiol drugs. Drug Metab. Dispos., 30: 183-190.
CrossRefDirect Link - Safirstein, R., L. Andrade and J.M. Vierira, 2000. Acetylcysteine and nephrotoxic effects of radiographic contrast agents-a new use for an old drug. N. Eng. J. Med., 343: 210-212.
Direct Link - Schuler, M., E. Bossy-Wetzel, J.C. Goldstein, P. Fitzgerald and G.R. Green, 2000. p53 induces apoptosis by caspase activation through mitochondrial cytochrome C release. J. Biol. Chem., 275: 7337-7342.
CrossRefDirect Link - Seki, K., H. Yoshikawa, K. Shiiki, Y. Hamada, N. Akamatsu and K. Tasaka, 2000. Cisplatin (CDDP) specifically induces apoptosis via sequential activation of caspase-8, -3 and -6 in osteosarcoma. Cancer Chemother. Pharmacol., 45: 199-206.
- Senturker, S., R. Tschirret-Guth, J. Morrow, R. Levine and E. Shacter, 2002. Induction of apoptosis by chemotherapeutic drugs without generation of reactive oxygen species. Arch Biochem. Biophys., 397: 262-272.
CrossRef - Shellard, S.A., A.M. Fichtinger-Schepman, J.S. Lazo and B.T. Hill, 1993. Evidence of differential cisplatin-DNA adduct formation, removal and tolerance of DNA damage in three human lung carcinoma cell lines. Anticancer Drugs, 4: 491-500.
PubMedDirect Link - Shimeda, Y., Y. Hirotani, Y. Akimoto, K. Shindou, Y. Ijiri, T. Nishihori and K. Tanaka, 2005. Protective effects of capsaicin against cisplatin-induced nephrotoxicity in rats. Biol. Pharm. Bull., 28: 1635-1638.
Direct Link - Shyu, K.G., J.J. Cheng and P. Kuan, 2002. Acetylcysteine protects against acute renal damage in patients with abnormal renal function undergoing a coronary procedure. J. Am. Coll. Cardiol., 40: 1383-1388.
Direct Link - Siddik, Z.H., 2003. Cisplatin: Mode of cytotoxic action and molecular basis of resistance. Oncogene, 22: 7265-7279.
CrossRefPubMedDirect Link - Silverberg, S.G., R.A. Delellis, W.J. Frable, V.A. Livolsi and M.R. Wick, 2006. Silverberg’s Principles and Practice of Surgical Pathology and Cytopathology. Churchill Living Stone, Elseiver, pp: 30.
- Sprong, R.C., A.M. Winkelhuyzen-Janssen, C.J. Aarsman, J.F. van Oirschot, T. van der Bruggen and B.S. van Asbeck, 1998. Low-dose N-acetylcysteine protects rats against endotoxin-mediated oxidative stress, but high-dose increases mortality. Am. J. Resp. Crit. Care Med., 157: 1283-1293.
Direct Link - Sugihara, K., S. Nakano, M. Koda, K. Tanaka, N. Fukuishi and M. Gemba, 1987. Stimulatory effect of cisplatin on production of lipid peroxidation in renal tissues. Jap. J. Pharmacol., 43: 247-252.
PubMedDirect Link - Sun, X.M., M. MacFarlane, J. Zhuang, B.B. Wolf, D.R. Green and G.M. Cohen, 1999. Distinct caspase cascades are initiated in receptor-mediated and chemical-induced apoptosis. J. Biol. Chem., 247: 5053-5060.
Direct Link - Tacka, K.A., D. Szalda, A.K. Souid, J. Goodisman and J.C. Dabrowiak, 2004. Experimental and theoretical studies on the pharmacodynamics of cisplatin in jurkat cells. Chem. Res. Toxicol., 17: 1434-1444.
CrossRef - Tepel, M., M. van der Giet, C. Schwarzfeld, U. Laufer, D. Liermann and W. Zidek, 2000. Prevention of radiographic-contrast-agent-induced reductions in renal function by acetylcysteine. N. Engl. J. Med., 343: 180-184.
PubMedDirect Link - Townsend, D.M., J.A. Marto, M. Deng, T.J. Macdonald and M.H. Hanigan, 2003. High pressure liquid chromatography and mass spectrometry characterization of the nephrotoxic biotransformation products of cisplatin. Drug Metab. Dispos., 31: 705-713.
PubMed - Vadoud-Seyedi, J., G. de Dobbeleer and T. Simonart, 2000. Treatment of haemodialysis-associated pseudoporphyria with N-acetylcysteine: Report of two cases. Br. J. Dermatol., 142: 580-581.
PubMed - Widlak, P., 2000. The DFF40/CAD endonuclease and its role in apoptosis. Acta Biochim. Pol., 47: 1037-1044.
PubMed - Wu, Y.J., L.L. Muldoon and E.A. Neuwelt, 2005. The chemoprotective agent N-acetylcysteine blocks cisplatin-induced apoptosis through caspase signaling pathway. J. Pharmacol. Exp. Ther., 312: 424-431.
CrossRefDirect Link - Xiao, T., S. Choudhary, W. Zhang, N.H. Ansari and A. Salahudeen, 2003. Possible involvement of oxidative stress in cisplatin-induced apoptosis in LLC-PK1 cells. J. Toxicol. Environ. Health, 66: 469-479.
CrossRef - Yang, Z., L.M. Schumaker, M.J. Egorin, E.G. Zuhowski, Z. Guo and K.J. Cullen, 2006. Cisplatin preferentially binds mitochondrial DNA and voltage-dependent anion channel protein in the mitochondrial membrane of head and neck squamous cell carcinoma: Possible role in apoptosis. Clin. Cancer Res., 12: 5817-5825.
CrossRef - Yim, C., J.B. Hibbs, J.R. McGregor, R.E. Galinsky and W.E. Samiowski, 1994. Use of N-acetyl cysteine to increase lntracellular glutathione during the induction of antitumor responses by IL-2. J. Immunol., 152: 5796-5805.
PubMed - Zafarullah, M., W.Q. Li, J. Sylvester and M. Ahmad, 2003. Molecular mechanisms of N-acetylcysteine actions. Cell Mol. Life Sci., 60: 6-20.
CrossRef - Zhan, Y., B. van de Water, Y. Wang and J.L. Stevens, 1999. The roles of caspase-3 and bcl-2 in chemically-induced apoptosis but not necrosis of renal epithelial cells. Oncogene, 18: 6502-6512.
PubMed - Zhang, K., P. Mack and K.P. Wong, 1998. Glutathione-related mechanisms in cellular resistance to anticancer drugs. Int. J. Oncol., 12: 871-882.
PubMed - Ziemann, C., A. Bürkle, G.F. Kahl and K.I. Hirsch-Ernst, 1998. Reactive oxygen species participate in mdr1b mRNA and P-glycoprotein overexpression in primary rat hepatocytes cultures. Carcinogenesis, 20: 407-414.
CrossRef - Zunino, F., G. Pratesi, A. Micheloni, E. Cavaletti, F. Sala and O. Tofanetti, 1989. Protective effect of reduced glutathione against cisplatin-induced renal and systemic toxicity and its influence on the therapeutic activity of the antitumor drug. Chem. Biol. Interact., 70: 89-101.
CrossRef
Other Health Sciences Concepts:
Discover the significance of concepts within the article: ‘Evaluation of the Chemoprotective Role of N-Acetylcysteine on...’. Further sources in the context of Health Sciences might help you critically compare this page with similair documents:
Nac, P, Vehicle, Ro, Statistical analysis, Antidote, Free radical scavenging, Reactive oxygen species, Lipid peroxidation, Apoptosis, Ethyl alcohol, Student's t test, Kidney tissue, Normal control group, Nephrotoxicity, Negative control, Hematoxylin and eosin, Urea, Creatinine, Renal toxicity, Kidney damage, N-acetylcysteine, DNA fragmentation, Gel electrophoresis, Citrate buffer, Phosphate buffer, Molecular mechanism, Computerized tomography, Intraperitoneal injection, Covalent binding, Chromogen, Anticancer agent, Oral gavage, Cisplatin, Serum level, Immunohistochemistry, Cell survival, Acetaminophen toxicity, Coronary angiography, Renal disorder, Kidney, Mucolytic, Cytoplasm, Albino rat, Solid tumor, Nucleic acid extraction, Sulfur, Proximal convoluted tubule, Rabbit polyclonal antibody, CT imaging, Hydrogen peroxide solution, Isotonic saline, TE buffer, Serum levels of urea, Paraffin embedded, Loading buffer, Primary antibody, Isopropanol, Toxic insult, L-cysteine, Renal tubular injury, Microwave, Iopromide, Kidney dialysis.
